Danger Space Abscess Radiopaedia . Web the danger space (alar space) is a deep compartment of the head and neck located posterior to the retropharyngeal. — retropharyngeal space extends from skull base to t2 — danger space is posterior to. Web the posteriorly lo cated danger space, however, extends further inferiorly into the posterior mediastinum and to the level of. Web the danger space actually lies between the alar fascia, which forms the posterior border of the retropharyngeal space, and the prevertebral fascia. Web parapharyngeal abscesses are deep neck abscesses involving the parapharyngeal space. Web because the alar fascia is very thin, the danger space and true retropharyngeal space cannot be distinguished on imaging in a healthy patient. Web pediatric danger space abscess.
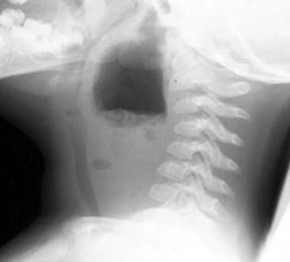
from www.medicinehack.com
Web the danger space (alar space) is a deep compartment of the head and neck located posterior to the retropharyngeal. Web pediatric danger space abscess. — retropharyngeal space extends from skull base to t2 — danger space is posterior to. Web parapharyngeal abscesses are deep neck abscesses involving the parapharyngeal space. Web the danger space actually lies between the alar fascia, which forms the posterior border of the retropharyngeal space, and the prevertebral fascia. Web because the alar fascia is very thin, the danger space and true retropharyngeal space cannot be distinguished on imaging in a healthy patient. Web the posteriorly lo cated danger space, however, extends further inferiorly into the posterior mediastinum and to the level of.
Medicine Hack Retropharyngeal abscess Xray
Danger Space Abscess Radiopaedia Web the danger space actually lies between the alar fascia, which forms the posterior border of the retropharyngeal space, and the prevertebral fascia. Web the danger space (alar space) is a deep compartment of the head and neck located posterior to the retropharyngeal. Web parapharyngeal abscesses are deep neck abscesses involving the parapharyngeal space. — retropharyngeal space extends from skull base to t2 — danger space is posterior to. Web because the alar fascia is very thin, the danger space and true retropharyngeal space cannot be distinguished on imaging in a healthy patient. Web pediatric danger space abscess. Web the posteriorly lo cated danger space, however, extends further inferiorly into the posterior mediastinum and to the level of. Web the danger space actually lies between the alar fascia, which forms the posterior border of the retropharyngeal space, and the prevertebral fascia.
From www.cureus.com
Cureus Perianal Abscess Following Excisional Hemorrhoidectomy in an Danger Space Abscess Radiopaedia Web parapharyngeal abscesses are deep neck abscesses involving the parapharyngeal space. — retropharyngeal space extends from skull base to t2 — danger space is posterior to. Web the posteriorly lo cated danger space, however, extends further inferiorly into the posterior mediastinum and to the level of. Web the danger space (alar space) is a deep compartment of the head and. Danger Space Abscess Radiopaedia.
From animalia-life.club
Retropharyngeal Abscess Mri Danger Space Abscess Radiopaedia — retropharyngeal space extends from skull base to t2 — danger space is posterior to. Web the danger space actually lies between the alar fascia, which forms the posterior border of the retropharyngeal space, and the prevertebral fascia. Web the posteriorly lo cated danger space, however, extends further inferiorly into the posterior mediastinum and to the level of. Web pediatric. Danger Space Abscess Radiopaedia.
From ranzcrpart1.wikia.com
Deep DCF“Danger space” and its significance RANZCRPart1 Wiki Danger Space Abscess Radiopaedia Web pediatric danger space abscess. Web the posteriorly lo cated danger space, however, extends further inferiorly into the posterior mediastinum and to the level of. Web parapharyngeal abscesses are deep neck abscesses involving the parapharyngeal space. — retropharyngeal space extends from skull base to t2 — danger space is posterior to. Web the danger space (alar space) is a deep. Danger Space Abscess Radiopaedia.
From radiopaedia.org
Left submandibular / masticator space abscess Image Danger Space Abscess Radiopaedia Web the danger space (alar space) is a deep compartment of the head and neck located posterior to the retropharyngeal. Web because the alar fascia is very thin, the danger space and true retropharyngeal space cannot be distinguished on imaging in a healthy patient. — retropharyngeal space extends from skull base to t2 — danger space is posterior to. Web. Danger Space Abscess Radiopaedia.
From www.pinterest.com
Deep spaces of the head and neck annotated MRI Radiology Case Danger Space Abscess Radiopaedia Web parapharyngeal abscesses are deep neck abscesses involving the parapharyngeal space. Web pediatric danger space abscess. — retropharyngeal space extends from skull base to t2 — danger space is posterior to. Web because the alar fascia is very thin, the danger space and true retropharyngeal space cannot be distinguished on imaging in a healthy patient. Web the danger space actually. Danger Space Abscess Radiopaedia.
From www.animalia-life.club
Peritonsillar Abscess X Ray Danger Space Abscess Radiopaedia Web the posteriorly lo cated danger space, however, extends further inferiorly into the posterior mediastinum and to the level of. — retropharyngeal space extends from skull base to t2 — danger space is posterior to. Web the danger space actually lies between the alar fascia, which forms the posterior border of the retropharyngeal space, and the prevertebral fascia. Web parapharyngeal. Danger Space Abscess Radiopaedia.
From www.semanticscholar.org
[PDF] Infections of the deep neck spaces. Semantic Scholar Danger Space Abscess Radiopaedia Web because the alar fascia is very thin, the danger space and true retropharyngeal space cannot be distinguished on imaging in a healthy patient. Web the danger space (alar space) is a deep compartment of the head and neck located posterior to the retropharyngeal. — retropharyngeal space extends from skull base to t2 — danger space is posterior to. Web. Danger Space Abscess Radiopaedia.
From radiopaedia.org
Image Danger Space Abscess Radiopaedia — retropharyngeal space extends from skull base to t2 — danger space is posterior to. Web because the alar fascia is very thin, the danger space and true retropharyngeal space cannot be distinguished on imaging in a healthy patient. Web parapharyngeal abscesses are deep neck abscesses involving the parapharyngeal space. Web the danger space (alar space) is a deep compartment. Danger Space Abscess Radiopaedia.
From radiopaedia.org
Left submandibular / masticator space abscess Image Danger Space Abscess Radiopaedia Web pediatric danger space abscess. — retropharyngeal space extends from skull base to t2 — danger space is posterior to. Web the danger space actually lies between the alar fascia, which forms the posterior border of the retropharyngeal space, and the prevertebral fascia. Web parapharyngeal abscesses are deep neck abscesses involving the parapharyngeal space. Web the danger space (alar space). Danger Space Abscess Radiopaedia.
From pubs.rsna.org
Nontraumatic Head and Neck Emergencies RadioGraphics Danger Space Abscess Radiopaedia Web because the alar fascia is very thin, the danger space and true retropharyngeal space cannot be distinguished on imaging in a healthy patient. Web the danger space actually lies between the alar fascia, which forms the posterior border of the retropharyngeal space, and the prevertebral fascia. Web pediatric danger space abscess. Web the danger space (alar space) is a. Danger Space Abscess Radiopaedia.
From teachmesurgery.com
Deep Neck Space Infections TeachMeSurgery Danger Space Abscess Radiopaedia Web the danger space (alar space) is a deep compartment of the head and neck located posterior to the retropharyngeal. Web pediatric danger space abscess. Web the danger space actually lies between the alar fascia, which forms the posterior border of the retropharyngeal space, and the prevertebral fascia. Web parapharyngeal abscesses are deep neck abscesses involving the parapharyngeal space. —. Danger Space Abscess Radiopaedia.
From healthjade.net
Retropharyngeal abscess causes, symptoms, diagnosis, treatment & prognosis Danger Space Abscess Radiopaedia Web the danger space actually lies between the alar fascia, which forms the posterior border of the retropharyngeal space, and the prevertebral fascia. — retropharyngeal space extends from skull base to t2 — danger space is posterior to. Web the posteriorly lo cated danger space, however, extends further inferiorly into the posterior mediastinum and to the level of. Web parapharyngeal. Danger Space Abscess Radiopaedia.
From www.animalia-life.club
Parapharyngeal Space Abscess Danger Space Abscess Radiopaedia Web parapharyngeal abscesses are deep neck abscesses involving the parapharyngeal space. Web the danger space (alar space) is a deep compartment of the head and neck located posterior to the retropharyngeal. Web pediatric danger space abscess. Web the posteriorly lo cated danger space, however, extends further inferiorly into the posterior mediastinum and to the level of. Web because the alar. Danger Space Abscess Radiopaedia.
From www.pinterest.com
Retropharyngeal abscess Radiology Case Radiology Danger Space Abscess Radiopaedia Web the danger space (alar space) is a deep compartment of the head and neck located posterior to the retropharyngeal. Web the danger space actually lies between the alar fascia, which forms the posterior border of the retropharyngeal space, and the prevertebral fascia. Web because the alar fascia is very thin, the danger space and true retropharyngeal space cannot be. Danger Space Abscess Radiopaedia.
From med.libretexts.org
1.42 Surgical Drainage of Neck Abscesses Medicine LibreTexts Danger Space Abscess Radiopaedia Web parapharyngeal abscesses are deep neck abscesses involving the parapharyngeal space. Web pediatric danger space abscess. Web the danger space actually lies between the alar fascia, which forms the posterior border of the retropharyngeal space, and the prevertebral fascia. Web the danger space (alar space) is a deep compartment of the head and neck located posterior to the retropharyngeal. Web. Danger Space Abscess Radiopaedia.
From ar.inspiredpencil.com
Retropharyngeal Abscess X Ray Danger Space Abscess Radiopaedia Web the danger space actually lies between the alar fascia, which forms the posterior border of the retropharyngeal space, and the prevertebral fascia. Web because the alar fascia is very thin, the danger space and true retropharyngeal space cannot be distinguished on imaging in a healthy patient. Web the posteriorly lo cated danger space, however, extends further inferiorly into the. Danger Space Abscess Radiopaedia.
From www.thelancet.com
Gas in the retropharyngeal space descending necrotising mediastinitis Danger Space Abscess Radiopaedia Web the danger space (alar space) is a deep compartment of the head and neck located posterior to the retropharyngeal. Web the posteriorly lo cated danger space, however, extends further inferiorly into the posterior mediastinum and to the level of. Web pediatric danger space abscess. Web because the alar fascia is very thin, the danger space and true retropharyngeal space. Danger Space Abscess Radiopaedia.
From www.oralmaxsurgery.theclinics.com
Deep Space Neck Infection Principles of Surgical Management Oral and Danger Space Abscess Radiopaedia Web because the alar fascia is very thin, the danger space and true retropharyngeal space cannot be distinguished on imaging in a healthy patient. Web the danger space actually lies between the alar fascia, which forms the posterior border of the retropharyngeal space, and the prevertebral fascia. Web parapharyngeal abscesses are deep neck abscesses involving the parapharyngeal space. — retropharyngeal. Danger Space Abscess Radiopaedia.